Επανορθωτική Χειρουργική
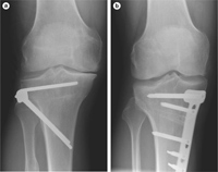
ΕΠΑΝΟΡΘΩΤΙΚΗ ΧΕΙΡΟΥΡΓΙΚΗ - ΓΟΝΑΤΟ
Η θεραπεία εξαρτάται από το στάδιο της νόσου και από την ηλικία του ασθενούς. Στα αρχικά στάδια μπορεί να περιλαμβάνεται ξεκούραση βάδιση με πατερίτσες, αντιφλεγμονώδη και παυσίπονα φάρμακα. Δυστυχώς με την πάροδο των ετών η νόσος και η φθορά επιδεινώνονται με αποτέλεσμα τα συντηρητικά μέτρα να καθίστανται ανεπαρκή. Στις περιπτώσεις αυτές η θεραπεία είναι χειρουργική. Στους ασθενείς άνω των 60 ετών η χειρουργική θεραπεία είναι η ολική Αρθροπλαστική γόνατος. Πρόκειται για χειρουργική επέμβαση αντικατάστασης αρθριτικών επιφανειών μηρού και κνήμης με ειδική πρόθεση που μιμείται τη λειτουργία του φυσιολογικού.
Η επέμβαση αυτή συνοδεύεται από πολύ υψηλό ποσοστό επιτυχίας και προσφέρει γρήγορη κινητοποίηση του ασθενή από τις πρώτες μετεγχειρητικές μέρες. Σε νεώτερους ασθενείς και εφόσον υπάρχουν οι σωστές ενδείξεις μια επέμβαση που αποτελεί την καταλληλότερη επιλογή είναι η υψηλή οστεοτομία της κνήμης. Η επέμβαση αυτή έχει σκοπό να αποφορτίσει το διαμέρισμα που παρουσιάζει την μεγαλύτερη φθορά ώστε να ανακουφισθεί ο ασθενής από τα συμπτώματα.
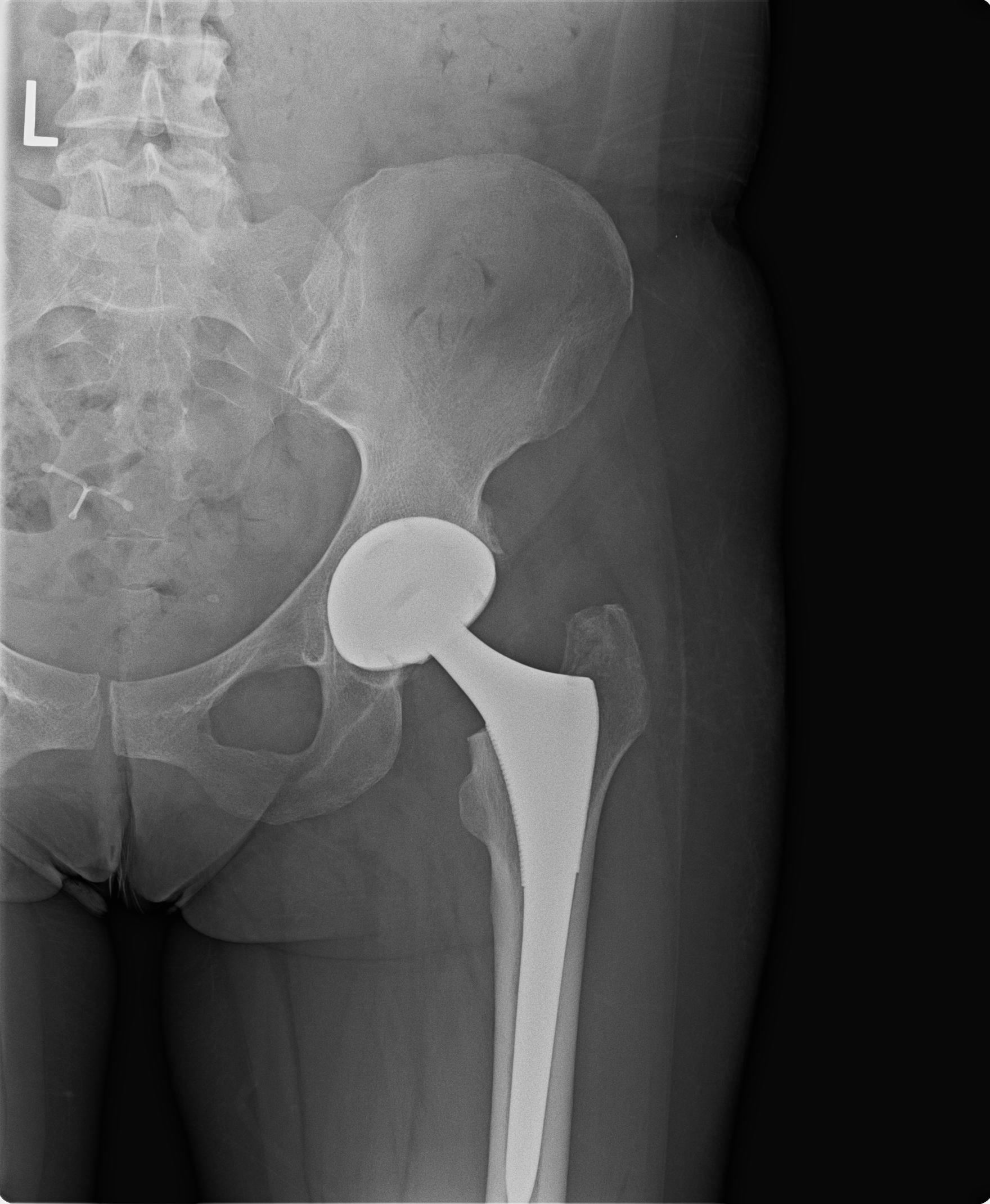
ΕΠΑΝΟΡΘΩΤΙΚΗ ΧΕΙΡΟΥΡΓΙΚΗ - ΙΣΧΙΟ
H άρθρωση του ισχίου είναι μία από τις πιο συνήθεις περιοχές ανάπτυξης οστεοαρθρίτιδας. Οστεοαρθρίτιδα σημαίνει φθορά της άρθρωσης και μπορεί να είναι πρωτοπαθής (ιδιοπαθής) όταν οφείλεται σε άγνωστο αίτιο, ή να είναι δευτεροπαθής, δηλαδή να είναι το αποτέλεσμα άλλης παθολογικής κατάστασης. Και στις δύο περιπτώσεις το αποτέλεσμα είναι το ίδιο: η βαθμιαία καταστροφή του αρθρικού χόνδρου. Η οστεοαρθρίτιδα του ισχίου εμφανίζεται συνήθως σε άτομα ηλικίας άνω των 55 ετών και έχει ως κύρια συμπτώματα πόνο στην περιοχή του ισχίου, που επιδεινώνεται συνήθως τη νύχτα καθώς επίσης και με τις δραστηριότητες. Στις περισσότερες περιπτώσεις υπάρχει και περιορισμός της κινητικότητας. Αρχικά η θεραπεία της νόσου είναι συντηρητική. Στα αρχικά στάδια μπορεί να περιλαμβάνεται ξεκούραση, βάδιση με πατερίτσες, αντιφλεγμονώδη και παυσίπονα φάρμακα. Δυστυχώς με την πάροδο των ετών η νόσος και η φθορά επιδεινώνονται με αποτέλεσμα τα συντηρητικά μέτρα να καθίστανται ανεπαρκή. Στις περιπτώσεις αυτές η θεραπεία είναι χειρουργική και συνίσταται στην ολική αρθροπλαστική του ισχίου. Στην επέμβαση αυτή αντικαθίσταται η μηριαία κεφαλή και η επιφάνεια της κοτύλης με μεταλλικές προθέσεις. Η επέμβαση αυτή συνοδεύεται από πολύ υψηλό ποσοστό επιτυχίας και προσφέρει γρήγορη κινητοποίηση του ασθενή από τις πρώτες μετεγχειρητικές μέρες.
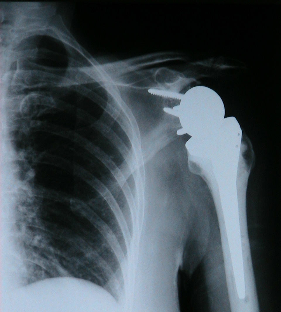
ΕΠΑΝΟΡΘΩΤΙΚΗ ΧΕΙΡΟΥΡΓΙΚΗ - ΩΜΟΣ
